OI – was ist das eigentlich?
Viele Menschen kennen die Bezeichnung Glasknochenkrankheit. Ganz wenige können sich mehr darunter vorstellen als daß man sich da halt die Knochen bricht.
Weil das irreführend und für einige Menschen mit OI auch unzutreffend ist, benutzen wir lieber den medizinischen Fachbegriff Osteogenis imperfecta, kurz OI. Osteogenesis imperfecta steht für unvollkommene Knochenbildung und das ist leider auch Quatsch. Menschen mit OI haben keine unvollkommene Knochenbildung und ihre Knochen sind auch nicht aus Glas. Tatsächlich haben Menschen mit OI eine genetische Veränderung, die ihren Stoffwechsel beeinflußt, genauer gesagt ihr Bindegewebe. OI ist also keine Knochenerkrankung, sondern eine Stoffwechselerkrankung. Deshalb kann es immer hilfreich sein, eine*n Endokrinolog*in zu Rate zu ziehen, bevor man sich an eine*n Orthopäd*in wendet.
Stoffwechsel schön und gut, aber was hat das mit den Knochen zu tun?
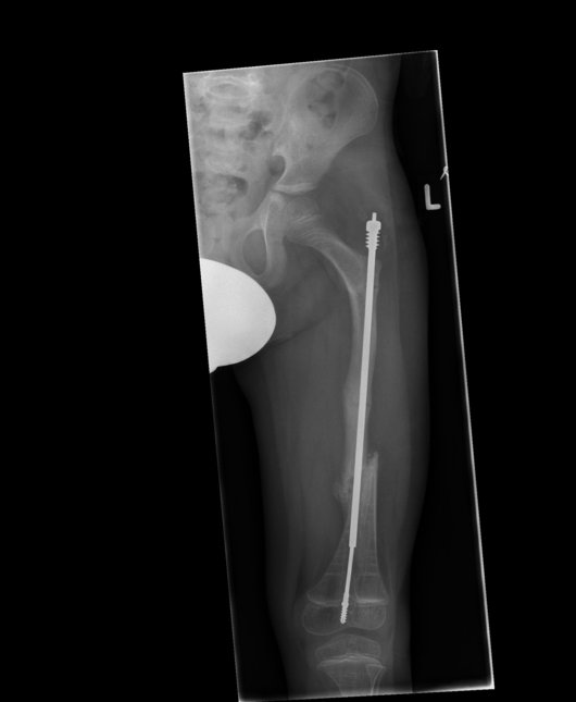
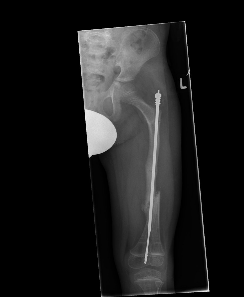
Ganz einfach: Die genetische Veränderung von Menschen mit OI führt dazu, daß der Kollagenhaushalt beeinflusst wird. Kollagen ist eine Struktur des Bindegewebes. Es sorgt dafür, dass unsere Knochen elastisch sind. Menschen mit OI haben daher weniger elastische Knochen. Das führt bei vielen von ihnen zu dem Leitsymptom Knochenbruch, durch das diese Genveränderung ihren Namen bekommen hat. Weil aber nun mal wirklich alles im Körper irgendwie aus Bindegewebe besteht bzw. davon umhüllt wird, kann sich OI auch auf Muskeln, Sehnen, Bänder, Knorpel, eben auf das gesamte Bindegewebe erstrecken.
Außerdem ist OI eine sogenannte Spektrums-Erkrankung. Das heißt, man fasst unter der Bezeichnung OI verschiedene genetische Veränderungen zusammen, die den Kollagenhaushalt betreffen. Das bedeutet auch, dass jede OI einzigartig ist und die Symptome bzw. die Ausprägung von Mensch zu Mensch völlig unterschiedlich sein können.
Und was hat man da so?
Der veränderte Knochenstoffwechsel führt bei sehr vielen Menschen mit OI zu einer erhöhten Neigung zu Knochenbrüchen. Viele haben außerdem mehr oder weniger ausgeprägte Verbiegungen der Knochen, meist der langen Röhrenknochen (Arme und Beine). Zu den Symptomen können außerdem eine Skoliose (Verkrümmung der Wirbelsäule) sowie Hypotonie (verringerte Muskelspannung), Schwerhörigkeit, Kurzsichtigkeit, überdehnbare Gelenke und Minderwuchs gehören. Manche Betroffene haben außerdem eine Dentinogenesis imperfecta, bei Ihnen kann es zur Verfärbungen und Brüchigkeit der Zähne kommen.
In aller Regel weist aber kein Mensch mit OI alle bekannten Symptome auf. Auch die Ausprägung variiert sehr stark. Es ist daher sehr wichtig, bei der Behandlung von OI nicht nach Lehrbuch vorzugehen, sondern ein besonderes Augenmerk auf den einzelnen Menschen zu legen – denn jede OI ist anders!
Und wie kann man OI feststellen?
Da es sich bei OI um eine genetische Veränderung handelt, erfolgt die Diagnostik meist über eine Humangenetik. Es wird also Blut abgenommen und dann im Labor untersucht. In etwa 80% aller Fälle kann OI so diagnostiziert werden. Es gibt aber auch Fälle, in denen keine genetische Veränderung gefunden werden kann. Das bedeutet nicht, dass der betreffende Mensch keine OI hat – die Diagnose kann dann klinisch erfolgen, d.h. durch eine*n erfahrene*e Ärzt*in, die mit den vielfältigen Symptomen von OI vertraut ist.
Leider gibt es nicht viele Ärzt*innen in Deutschland, die Erfahrung mit OI haben (d.h. mindestens 20 Patient*innen pro Jahr sehen). Wir raten daher immer dazu, im Zweifelsfall auch weite Wege auf sich zu nehmen, damit ein*e individuelle Therapie gemeinsam mit allen Beteiligten geplant werden kann. Eine Liste mit OI-erfahrenen Ärzt*innen stellen wir unseren Mitgliedern auf Anfrage gerne zur Verfügung.


